SE HABLA ESPAÑOL

Dental Crown Bridge Services

 

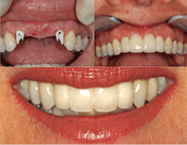
Dental Crown Bridge

Dental Crown Bridges


Crown:   A crown is a tooth-shaped cap that is placed over a tooth. It is used to strengthen and protect your tooth structure.

Bridges:   A dental bridge covers or "bridges" the gap between missing teeth.

About Us

Dr. Siva Cherukuri, DDS is among the few top pediatric dentists in San Francisco Bay Area, offering excellent pediatric dental services for over 15 years to the children of all ages.

Address

Siva Cherukuri D.D.S, Inc.
193 Arch St.Ste.B-C
Redwood City, CA 94062
P: 650-369-4616

Communicate with us