SE HABLA ESPAÑOL

Dental Filling Services

 

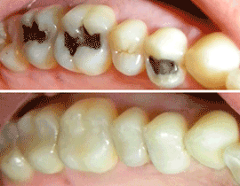
Dental Fillings

Dental Fillings


A filling is a way to restore a tooth damaged by decay back to its normal function and shape. When a dentist gives you a filling, he or she first removes the decayed tooth material, cleans the affected area, and then fills the cleaned out cavity with a filling material.

About Us

Dr. Siva Cherukuri, DDS is among the few top pediatric dentists in San Francisco Bay Area, offering excellent pediatric dental services for over 15 years to the children of all ages.

Address

Siva Cherukuri D.D.S, Inc.
193 Arch St.Ste.B-C
Redwood City, CA 94062
P: 650-369-4616

Communicate with us